Traitements et
Soins.

Le cabinet dentaire dispose de salle de soins, d’un bloc opératoire, d’un espace stérilisation
ainsi qu’une salle radiographie. Ces espaces sont équipés de manière à respecter des normes strictes.

Le Cabinet dentaire du Val d’Or à Vallauris réunit le savoir-faire d’une équipe pluridisciplinaire permettant de proposer une gamme variée de soins dentaires.

Les formations de nos équipes ainsi que l’équipement du cabinet permettent de pratiquer une dentisterie toujours moins invasive et moins éprouvante pour nos patients.

Les soins conservateurs :
- Détartrage / polissage
- Soin composite
- Traitement endodontique
- Retraitement endodontique

Les soins esthétiques :
- Eclaircissement
- Facette
- Couronnes tout céramique (sans métal)

Les soins prothétiques :
- Réhabilitation complète
- Augmentation dimension verticale

Les soins implantaires :
- Pose implant dentaire unitaire
- Mise en charge immédiate
- Extraction implantation immédiate

Les greffes préimplantaires :
- Sinus lift (greffe sinusienne)
- Greffe alvéolaire

Notre équipe vous assure une information complète au travers d’explications précises sur les différents traitements possibles et leur conduite.

Des rappels sur les conduites à tenir pré, per et post opératoire sont disponibles au cabinet. Des consentements explicatifs sont systématiquement délivrés en fonction du soin engagé.

Toutes nos prothèses sont confectionnées en France par des artisans prothésistes des Alpes-Maritimes.

Laboratoire Mazuel.
15 Boulevard du Parc Impériale 06000 Nice.

Laboratoire ROSA LAB
11 ch de l'industrie, Le Canéopole 06110 Le Cannet.

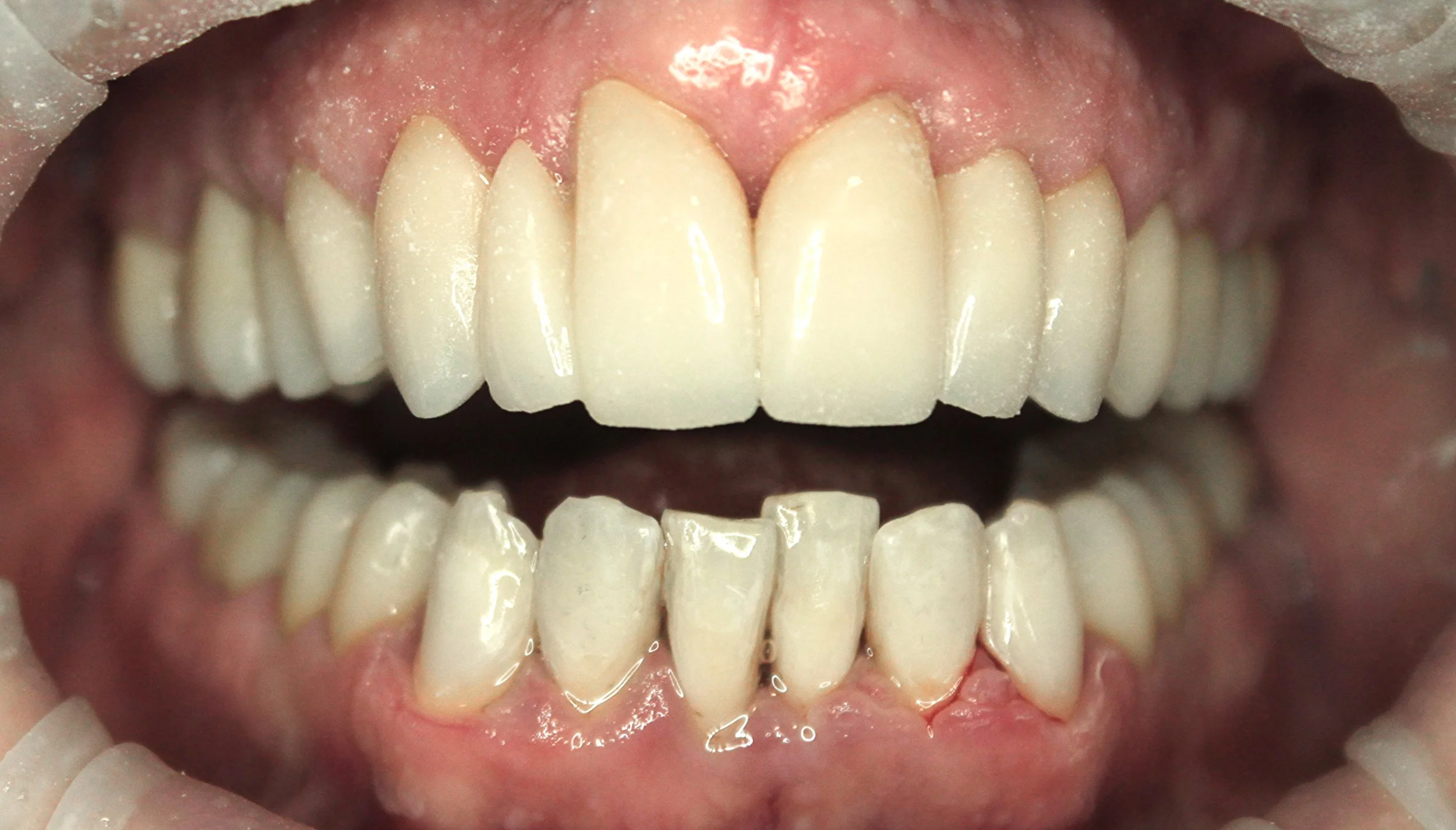
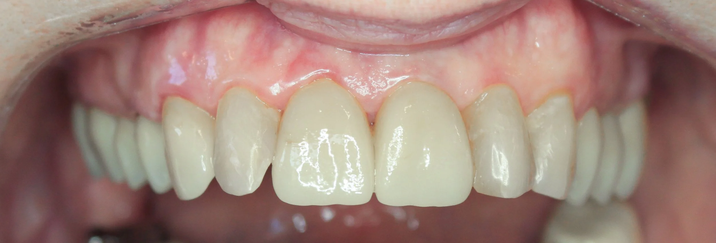
Cas Cliniques

AVANT / APRÈS

AVANT / APRÈS

AVANT / APRÈS

AVANT / APRÈS

AVANT / APRÈS

AVANT / APRÈS

AVANT / APRÈS

AVANT / APRÈS

AVANT / APRÈS

AVANT / APRÈS

AVANT / APRÈS

Cabinet dentaire Cannes Vallauris

Prendre Rendez-vous

avec le cabinet dentaire sur Doctolib
en cliquant sur le lien

Rendez-vous sur Doctolib