
Traitements
et Soins.
Le cabinet dentaire dispose de salle de soins, d’un bloc opératoire, d’un espace stérilisation
ainsi qu’une salle radiographie. Ces espaces sont équipés de manière à respecter des normes strictes.
CAS CLINIQUES
Le Cabinet dentaire du Val d’Or à Vallauris réunit le savoir-faire d’une équipe pluridisciplinaire permettant de proposer une gamme variée de soins dentaires.
Les formations de nos équipes ainsi que l’équipement du cabinet permettent de pratiquer une
dentisterie toujours moins invasive et moins éprouvante pour nos patients.
Les soins conservateurs :
- Détartrage / polissage
- Soin composite
- Traitement endodontique
- Retraitement endodontique
Les soins esthétiques :
- Eclaircissement
- Facette
- Couronnes tout céramique (sans métal)
Les soins prothétiques :
- Réhabilitation complète
- Augmentation dimension verticale
Les soins implantaires :
- Pose implant dentaire unitaire
- Mise en charge immédiate
- Extraction implantation immédiate
Les greffes préimplantaires :
- Sinus lift (greffe sinusienne)
- Greffe alvéolaire
Notre équipe vous assure une information complète au travers d’explications précises sur les différents traitements possibles et leur conduite.
Des rappels sur les conduites à tenir pré, per et post opératoire sont disponibles au cabinet. Des consentements explicatifs sont systématiquement délivrés en fonction du soin engagé.
Toutes nos prothèses sont confectionnées en France par des artisans prothésistes des Alpes-Maritimes.
Laboratoire Mazuel.
15 Boulevard du Parc Impériale 06000 Nice.
Laboratoire Tacci.
83 Avenue Pablo Picasso 06220 Vallauris.

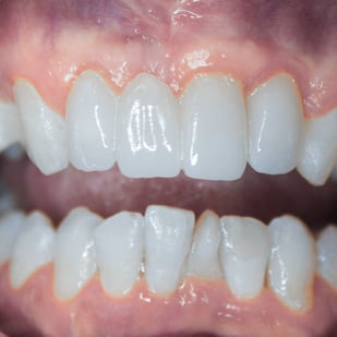
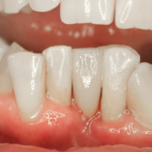
AVANT / APRÈS

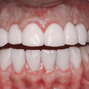
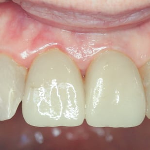
AVANT / APRÈS

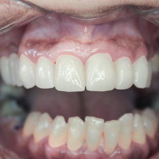
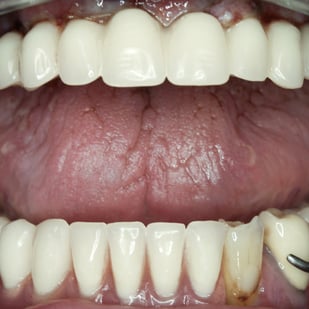
AVANT / APRÈS



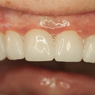
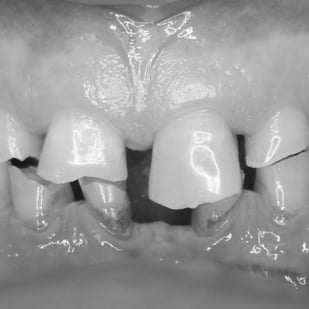
AVANT / APRÈS

AVANT / APRÈS

AVANT / APRÈS

AVANT / APRÈS
AVANT / APRÈS

AVANT / APRÈS



AVANT / APRÈS

avec le cabinet dentaire sur Doctolib
en cliquant sur le lien
Prendre Rendez-vous
54 Av. du Maréchal Juin,
06220 Vallauris, France
04 22 58 03 05
info@cabinetduvaldor.fr


